3M™ Lava™ Premium system is based on a unique 3M™ shading technology, meaning that its color is not on the surface but comes from within. This unique technology used in the Lava™ Premium Dyeing Liquids also helps to preserve translucency after shading, without compromising strength.
With millions of successful Zirconia Restoration worldwide and more than a decade of clinical track record. 3M LavaTM Premium Combines the best of aesthetics, translucency and strength. Using a unique shading technology exclusive to 3M (Invented Zirconia Shading technology). LavaTM Premium is able to retain a high strength excellent shade options to individualize to meet patient needs.
Lava™ Premium High Translucency All-Zirconia Crown (A2)
Lava™ Premium zirconia is the beautifully durable material of choice.
Single Crown
3-unit bridge
Source: 3M™
Curved and long-span bridge
Anterior adhesive bridge
Source: 3M™
Primary Crown / telescope
Build-up for two-piece abutment
Source: 3M™
In a field evaluation, Lava™ Premium High Translucency Zirconia was put to the test with dentists and dental labs alike.
Dental lab reviews showed Lava™ Premium zirconia to have the best overall esthetics, with significantly higher all-zirconia crown translucency than leading competitors without compromising strength. It's the ONLY system that matches the VITA® Classical A1-D4 and bleached shades.
Dentists involved in the evaluation said Lava™ Premium High Translucency Zirconia delivers the best zirconia esthetics ever, with more options for all-zirconia or layered restorations.
The height of the bar represents the level of translucency.
Source: 3M™ internal data
*Shaded with Zirkonazahn Prettau Color Liquid A
Biaxial flexural strength comparison of zirconia and lithium disilicate (acc. ISO 6872). Letters indicate statistically significant differences.
Source: Wang F, Takahashi H. Translucency and Biaxial Flexural Strength of Dental Ceramics. J Dent Res 91 (Spec Iss A): #422, 2012
Source 1: J. Geis-Gerstorfer, and C. Schille. Influence of Surface Treatment on Wear of Solid Zirconia (LAVA), J Dent Res 90 (Spec Iss A): #145873, 2011
Source 2: Prof. J. Geis-Gerstorfer, C. Schille. Wear behavior measured with a pin-on-disk apparatus ABREX against 6mm Steatite balls as antagonists (45°, 5 N load, 5000 cycles, water). University of Tubingen, Germany
* Lava™ Premium is internationally known as Lava™ Plus
Since its introduction in 2001, Lava™ Zirconia has become a huge success story. Millions : of restorations have been produced and Lava™ Systems are running in over 40 countries around the globe.
Lava™ Zirconia is one of the best investigated materials on the market with over 100 studies published by researchers worldwide. Lava™ stands for high-strength restorations with outstanding marginal fit and excellent aesthetics. Due to its proven reliability, 3M™ grants for 15 years from the date of placement that copings or substructures made out of Lava™ Zirconia will not break.
If fabricated by an Authorized Lava™ Milling Center or on approved Lava™ Equipment in strict compliance with approved indications and instructions for use for Lava™ Crowns and Bridges. Only approved indications for Lava™ Zirconia are covered and the warranty does not cover any breakage resulting from accidents or misuse. Additional costs such as the cost of preparation and veneering are also not covered.
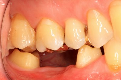
Figure 1: Initial situation: Insufficient full-cast metal crowns at teeth 26 and 27; insufficient composite filling at teeth 23, 24 and 25. Source: 3M™
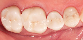
Figure 2 + 3: Final result: Lava™ Premium Highly Translucent All-Zirconia single crowns at teeth 25, 26 and 27. Restorations are custom-shaded with Lava™ Premium High Translucency Zirconia Dyeing Liquid and individualized with Lava™ Premium High Translucency Zirconia Effect Shades. Teeth 23 and 24 restored with Filtek™ Supreme XTE.
Source: 3M™
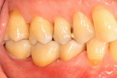
Figure 1: Initial situation: Insufficient provisional at teeth 45-47
Source: 3M™
Figure 2: Preparation with only little inter-occlusal space
Source: 3M™
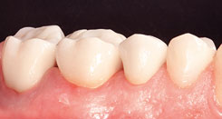
Figure 3: Final situation: Monolithic Lava™ Premium Highly Translucent Zirconia 3-unit Bridge at teeth 45-47. Minimum wall thickness of framework at contact points is 0.5mm Source: 3M™
Supplied via Authorized 3M Milling Partners only
Warranty covered by 3M*
*Conditions apply - warranty provided as per terms mentioned in the warranty card